ثبت یک مورد عجیب سوراخ شدن «نای» در اثر نگه داشتن عطسه/ عکس
فرادید نوشت: برای نخستین بار در جهان، مردی پس از تلاش برای نگه داشتن عطسه خود، موجب به وجود آمدن یک سوراخ کوچک در نای خود شد.

این اتفاق عجیب در حالی رخ داد که مرد در حال رانندگی بود و مبتلا به زکام شده بود. او ناگهان نیاز شدیدی به عطسه احساس کرد، اما به جای اینکه عطسه کند، با فشردن بینی و بستن دهانش، آن را خفه کرد.
اگر حین عطسه، دهان و بینی هر دو بسته باشند، فشار ایجاد شده در مجاری هوایی فوقانی میتواند بیش از ۲۰ برابر فشاری باشد که به طور معمول در طول عطسه ایجاد میشود. در مورد این مرد، فشار وارده به حدی زیاد بود که یک سوراخ ۲ در ۲ میلیمتری در نای او ایجاد شد.
وقتی مرد به بخش اورژانس رسید، درد شدیدی داشت، گردنش از دو طرف متورم شده بود و به سختی آن را حرکت میداد. وقتی پزشکان او را معاینه کردند، صدای ترق خفیفی را هم شنیدند. با این حال، مرد هیچ مشکلی در تنفس، قورت دادن یا صحبت کردن نداشت.
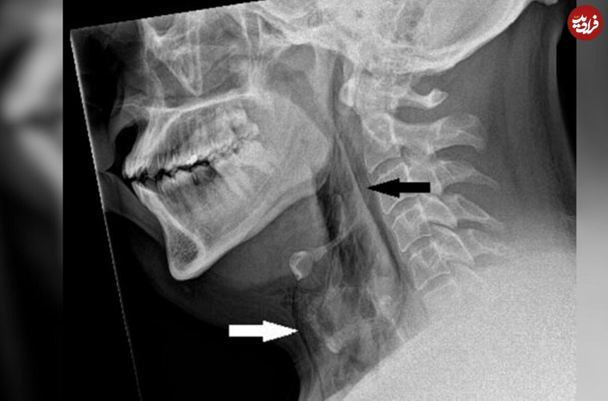
عکسبرداری با اشعه ایکس از گردن نشان داد مرد مبتلا به آمفیزم زیرپوستی است، بیماریای که در آن، هوا زیر عمیقترین لایههای بافت زیر پوست گیر میکند. توموگرافی کامپیوتری (سیتیاسکن) نشان داد پارگی بین استخوانهای سوم و چهارم یا مهرههای گردن او رخ داده است. هوا نیز در فضای قفسهسینه بین ریههای او جمع شده بود. پزشکان به این نتیجه رسیدند که پارگی ناشی از افزایش سریع فشار در نای هنگام عطسه با بینی فشرده و دهان بسته است.

پزشکان تشخیص دادند این مرد نیازی به جراحی ندارد. با این حال، او به مدت دو روز در بیمارستان تحت نظر بود تا سطح اکسیژن و سایر علائم حیاتی او ثابت بماند. در نهایت با داروهای مسکن و حساسیت مرخص شد. همچنین، پزشکان به او گفتند تا دو هفته هیچ فعالیت بدنی شدیدی انجام ندهد.
پنج هفته بعد، سیتیاسکن نشان داد پارگی کاملاً بهبود یافته است. در نهایت، این مرد جراحات نسبتاً جزئی را تحمل کرد. اما پزشکان درگیر در پرونده او در گزارشی که ۱ دسامبر در مجله BMJ Case Reports منتشر شد، این اتفاق را هشداری برای دیگران اعلام کردند.
«به همه باید توصیه شود عطسههای خود را با فشار دادن بینی در حالی که دهانشان بسته است خفه نکنند، چون این کار میتواند منجر به سوراخ شدن نای شود».
پاره شدن خودبخودی نای یک اتفاق نادر اما بالقوه کشنده است. تنها چند مورد تا به حال گزارش شده و معمولاً ناشی از ضربه فیزیکی یا صدمات ناشی از یک روش پزشکی، مانند برداشتن غده تیروئید با جراحی یا قرار دادن یک لوله در نای است. بسته به محل پارگی و پایدار بودن علائم حیاتی بیمار، معمولاً برای ترمیم آسیب به جراحی نیاز است.
